Tin tức & Sự kiện
CHẤT LƯỢNG TẠO NÊN THƯƠNG HIỆU
Công ty chúng tôi luôn chào đón Quý vị đến thăm và tham quan trực tiếp
và hy vọng sẽ làm hài lòng những khách hàng kỹ tính nhất
Răng sứ có rất nhiều loại và giá cả cũng khác nhau, nhiều người không có nhiều chi phí thường chọn răng sứ kim loại thường nhưng họ luôn băn khoăn bọc răng sứ kim loại thường có tốt không? Có ảnh hưởng đến sức khỏe không?
Các loại răng sứ kim loại
Răng sứ kim loại thông thường có 2 loại: Răng sứ kim loại thường và Răng sứ kim loại titan.
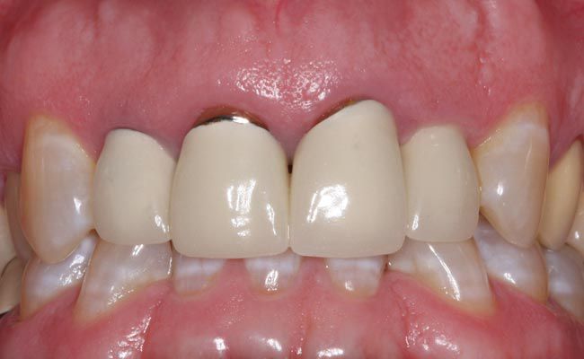
- Răng sứ kim loại thường: Là loại răng sứ mà phần sườn được đúc từ kim loại như Ni-Cr hoặc Co-Cr, bên ngoài răng sứ này được phủ một lớp sứ ceramco3. Răng sứ kim loại thường này có khả năng lực tốt, màu sắc cũng tương đối giống với răng thật. Mặc dù vậy, răng sứ kim loại thường sẽ để lại vết đen ở viền nướu qua thời gian sử dụng.
- Răng sứ Titan: Cũng là răng sứ kim loại nhưng cao cấp hơn bởi khung sườn được làm từ hợp kim (Ni-Crom-Titan). Thành phần bên trong răng có 4-6 % Titanium, bên ngoài được phủ một lớp men sứ bên ngoài. Ưu điểm của răng sứ titan là có tính sinh học cao, không gây dị ứng với bất cứ trường hợp nào và không bị biến dạng… Đồng thời, răng sứ titan có khả năng kết hợp với xương trong cơ thể, tương thích với nướu và trong môi trường miệng không bị oxy hóa bởi nước bọt.
Bọc răng sứ kim loại thường có tốt không
Răng sứ kim loại thường không khác nhiều so với các loại răng sứ khác, khả năng chịu lực cao, tính bền. Tuy nhiên, răng sứ kim loại thường có nhược điểm là bị oxy hóa qua thời gian sử dụng do phản ứng giữa axit trong nước bọt và kim loại nên làm đen viền nướu, chính vì vậy sẽ ảnh hưởng đến tính thẩm mỹ. Đặc biệt, khi có ánh đèn chiếu vào, do răng sứ kim loại sử dụng sườn bằng kim loại nên khi có ánh sáng chiếu vào sẽ bị ánh đen nên không được tự nhiên như các loại răng sứ không kim loại.

Răng sứ kim loại thường
Chính vì vậy, khi tiến hành bọc răng sứ ở răng cửa, do tính thẩm mỹ yêu cầu cao hơn nên việc lựa chọn răng sứ kim loại không được nhiều khách hàng ưa chuộng. Do vậy, răng sứ không kim loại được ưu tiên lựa chọn để có một nụ cười tự nhiên và bền lâu.
Bọc răng sứ không hề ảnh hưởng đến sức khỏe của bạn, mặc dù vậy, quá trình bọc răng thường phải tiến hành mài răng, có khả năng ảnh hưởng đến tủy nên răng của bạn sẽ không còn được như ban đầu.
Để lựa chọn cho mình một loại răng sứ phù hợp với giá cả và thẩm mỹ, bạn nên đến các cơ sở nha khoa uy tín đển bác sĩ hướng dẫn, tư vấn kỹ càng hơn và đưa ra kế hoạch điều trị cụ thể.


